Meet Your Dentist

Dr. Marium Pathan

Caring for your smile with gentle, expert dental care in Bengaluru.

Experienced Dentists at Dr Tooth Advanced Dental Care

Smiles

Snapshots of happy patients and our caring team at work

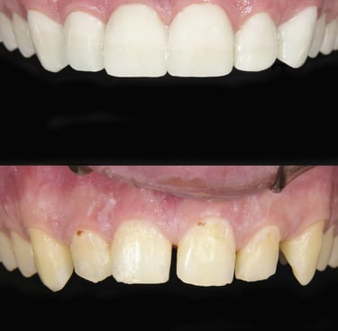
a close up of a person's mouth
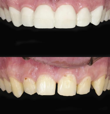
a close up of a person's mouth

Contact Us

Friendly receptionist at dental clinic desk ready to assist patients.
Friendly receptionist at dental clinic desk ready to assist patients.

Reach out to schedule your appointment or ask any questions you have.